
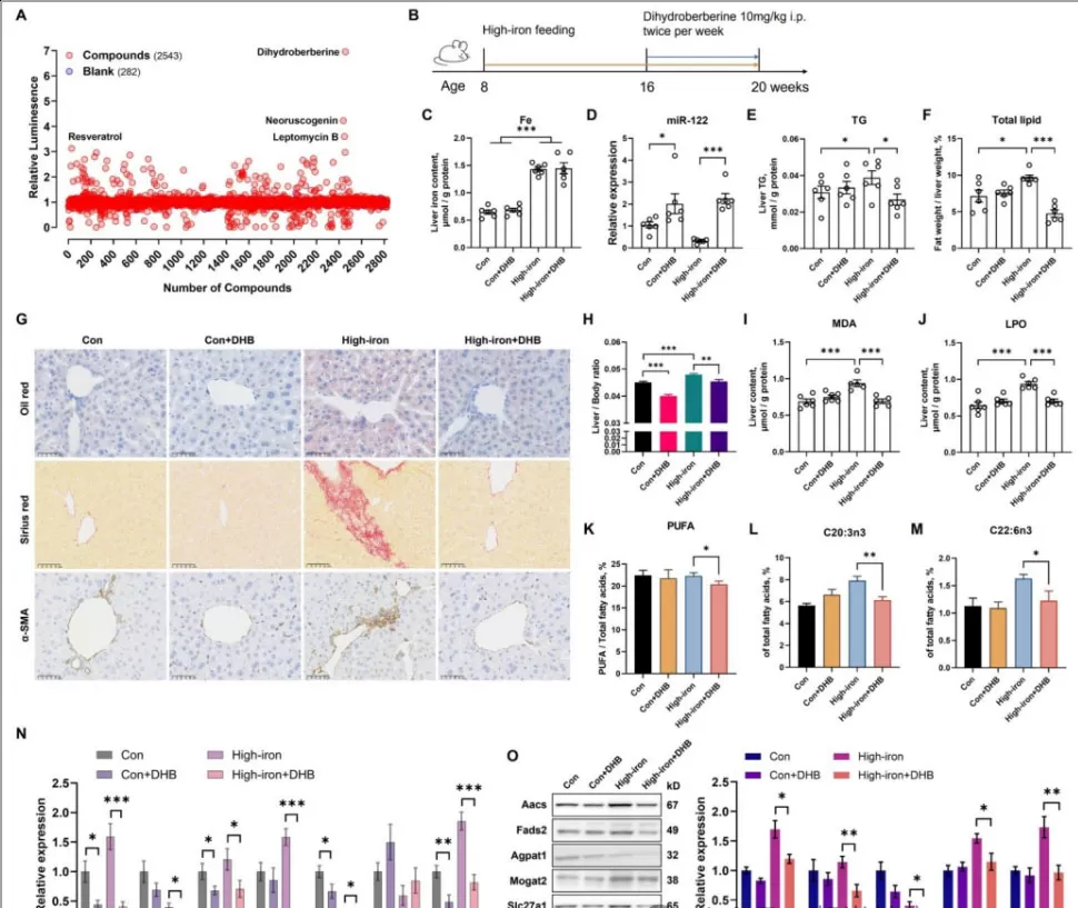
บทคัดย่อ: ในการศึกษาที่มีคุณภาพสูงที่ตีพิมพ์ในเดือนพฤษภาคม2025, ทีมวิจัยจากภาควิชาโภชนาการที่ Naval Medical University of the People's Liberation Army ได้ออกแบบนวนิยาย "screening System"-ใช้ luciferase Reporter Model เพื่อ "Monitor" กิจกรรมของ miR-122,,, คล้ายกับการติดตั้ง "ไฟสัญญาณ" สำหรับ miR-122 เมื่อสารประกอบช่วยเพิ่มกิจกรรม miR-122 "ไฟสัญญาณ" จะสว่างขึ้น ต่อมาพวกเขาได้ทำการคัดกรองปริมาณงานสูงขนาดใหญ่ของสารประกอบธรรมชาติ2,543ซึ่งค้นหา "พันธมิตรในอุดมคติ" สำหรับ miR-122ได้อย่างมีประสิทธิภาพ
หลังจากการคัดกรองอย่างเข้มงวด dihydroberine กลายเป็นผู้สมัครที่โดดเด่นในหมู่สารประกอบธรรมชาติ2,543: มันไม่เพียงแต่คาดเดาระดับ miR-122อย่างมีนัยสำคัญแต่ยังมีการจัดแสดงไม่มีความเป็นพิษของเซลล์-แสดงให้เห็นถึงประสิทธิภาพและความปลอดภัย
ในรูปแบบเมาส์ที่เกิดจากเหล็กสูงของ mald (โรคตับ steatotic ที่เกี่ยวข้องกับการเผาผลาญ), dihydroberine แสดงให้เห็นถึงผลกระทบในการป้องกันตับที่น่าทึ่ง:
คืนค่าระดับ miR-122: ย้อนกลับการลด miR-122ที่เกิดจากเหล็กเกินพิกัดเปิดใช้งาน "ตัวควบคุม" ของตับได้อย่างมีประสิทธิภาพ
ช่วยเพิ่มการเผาผลาญไขมัน: ลดไตรกลีเซอไรด์ในตับและปริมาณไขมันทั้งหมดนำไปสู่ตับ "ทำความสะอาด" อย่างเห็นได้ชัด (พิสูจน์ได้ว่าเป็นน้ำมันสีแดง O การย้อมสี)
ป้องกันความเสียหายจากออกซิเดชั่น: ลดระดับของเครื่องหมาย lipid peroxidation (เช่น, MDA, LPO) ปกป้องเยื่อ hepatocyte จากการย่อยสลาย
ลดการบาดเจ็บของตับและไฟโบรซิส: ลด Alt และ AST ลงอย่างมาก (เครื่องหมายการบาดเจ็บที่ตับที่สำคัญ) และบรรเทาความก้าวหน้าของไฟโบรซิสในตับ

รูปที่ D: การควบคุม miR-122-การโอเวอร์โหลดของเหล็กทำให้เกิดการลดลงอย่างรวดเร็วในการแสดงออกของ miR-122ในขณะที่การรักษา DHB เรียกคืนให้อยู่ในระดับใกล้เคียงปกติ
ตัวเลข E-H: การปรับปรุงการเผาผลาญไขมัน-เหล็กเกินพิกัดเหนี่ยวนำให้เกิดไตรกลีเซอไรด์ในตับและการสะสมไขมันทั้งหมดซึ่งลดลงตามการบริหาร DHB
ตัวเลข I-J: การลดความเสียหายจากปฏิกิริยาออกซิเดชัน-การโอเวอร์โหลดของเหล็กเพิ่มผลิตภัณฑ์ออกซิเดชัน (MDA, LPO ฯลฯ) ในขณะที่การรักษา DHB ลดเครื่องหมายเหล่านี้ลงอย่างมาก
ตัวเลข K-M: การบูรณะความสมดุลของกรดไขมัน-การรักษา DHB กลับเหล็กความผิดปกติที่เกิดจากการโอเวอร์โหลดของกรดไขมันไม่อิ่มตัวเชิงซ้อนและคืนสภาพอัตราส่วนกรดไขมันที่เป็นประโยชน์
ตัวเลข N-O: การควบคุมโปรตีน-เหล็กโอเวอร์โหลดรบกวนการแสดงออกของโปรตีนที่เกี่ยวข้องกับการเกิดไขมันซึ่งเป็นปกติโดยการแทรกแซง dhb.
ในบรรดาสารประกอบ2,543ที่คัดกรอง dihydroberberine (DHB) ยืนออกไม่ได้โดยบังเอิญแต่โดยแสดงให้เห็นทั้ง upregulation miR-122ที่แข็งแกร่งที่สุดและความเข้ากันได้ทางชีวภาพของเซลล์ที่สมบูรณ์แบบ-รากฐานที่สำคัญสำหรับการแปลทางคลินิก
เหล็กเกินทำลายตับผ่าน Cascade ที่กำหนดไว้:
เหล็กโอเวอร์โหลด → ความผิดพลาดของ miR-122 → โปรตีน lipogenic ที่ควบคุมได้ผิดปกติ → ความเครียดจากการสะสมของไขมัน → โรคตับที่รุนแรงขึ้น
การหยุดชะงักของ DHB วงจรหินนี้โดย:
เสริม DHB → การกู้คืน miR-122 → โปรตีน lipogenic ที่ถูกระงับ → ลดการสะสมไขมันลดความเสียหายจากอนุมูลอิสระ → การระบายความร้อนในตับ"
การศึกษาแสดงให้เห็นอย่างชัดเจนว่า DHB:
กำหนด miR-122เพื่อเงียบยีนที่เป็นอันตราย (เช่น AACS Fads2 cyps) การขับไขมันและการเกิดออกซิเดชัน
พื้นฐานแบ่ง "เหล็กเกิน → ความผิดปกติของการเผาผลาญ" ห่วงข้อเสนอแนะ
มีการควบคุมการเผาผลาญแบบคู่และ hepatoprotection-สำหรับประชากรที่ทุกข์ทรมานจากการโอเวอร์โหลดเหล็กและ masld
จากรายละเอียดวิธีการรีดและ miR-122เป็นอันตรายต่อตับเพื่อระบุ DHB ผ่านระบบ SCการวิจัยนี้ทำให้ถนนบำบัดที่มีแนวโน้มสำหรับการแทรกแซงของมาสก์
ข้อมูลอ้างอิง:
Yuxiao Tang 1, ziper Gao et al. ทำลายการทำงานร่วมกันของเหล็กเกินและ miR-122เพื่อช่วยการสะสมไขมันและการเกิดออกซิเดชันใน masld. เภสัชกร res. 2025พฤษภาคม: 215:107728